Otuz sekiz yaşında, daha önce bilinen kronik hastalığı olmayan erkek hasta, sol uylukta yedi gündür devam eden ağrı şikâyetiyle acil servise başvurdu. Ağrı keskin karakterde, hareketle artan ve istirahatle belirgin olarak azalmayan özellikteydi. Hastanın ateş ölçümü normaldi ancak subjektif ateş hissi tarifliyordu. Travma öyküsü, yakın zamanda geçirilmiş enfeksiyon veya cerrahi girişim öyküsü bulunmuyordu.
Fizik muayenede genel durumu iyi, vital bulguları stabildi. Sol uylukta belirgin şişlik, kızarıklık veya ısı artışı izlenmedi. Kalça eklemi hareket açıklığı ağrı nedeniyle hafif kısıtlıydı. Laboratuvar incelemelerinde hafif lökositoz dışında anlamlı bir patoloji saptanmadı. Radyografik incelemeler normal olarak değerlendirildi. Hasta kas-iskelet sistemi kaynaklı ağrı düşünülerek analjezik tedavi ile taburcu edildi.
Hasta benzer yakınmalarla kısa aralıklarla iki kez daha acil servise başvurdu. Üçüncü başvuruda klinik tablo belirgin şekilde değişmişti. Hastada 38,4 °C ateş, sol uyluk medialinde ağrılı, sert ve eritemli bir kitle mevcuttu. Kalça hareketleri belirgin derecede ağrılı ve kısıtlıydı. Laboratuvar incelemelerinde lökosit sayısı 14.800/mm³, nötrofil oranı %83 ve C-reaktif protein 305 mg/L olarak saptandı.

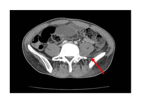
Kontrastlı abdominal ve pelvik bilgisayarlı tomografide, sol uyluk adduktor kaslarından başlayarak iliopsoas ve iliakus kaslarına uzanan, çok loküle, rim tutulumlu apse koleksiyonu izlendi. Bulgular iliopsoas apsesi ile uyumluydu.
Hasta acil cerrahi drenaj için yatırıldı. Operasyon sırasında derin yerleşimli, bol miktarda pürülan materyal içeren geniş bir apse saptandı. Mikrobiyolojik kültürlerde metisiline duyarlı Staphylococcus aureus üredi. Ampirik antibiyotik tedavisi kültür sonuçlarına göre düzenlendi ve uzun süreli intravenöz antibiyotik tedavisi planlandı. Klinik ve laboratuvar parametreleri kademeli olarak düzeldi. Kontrol görüntülemelerinde apse koleksiyonunun gerilediği görüldü. Hasta tam iyileşme ile taburcu edildi.
Bu olgu, iliopsoas apsesinin özgül olmayan semptomlarla başlayabileceğini ve tanının kolaylıkla gecikebileceğini göstermektedir. İlk başvurularda ateşin objektif olarak saptanmaması ve lokal bulguların olmaması, enfeksiyöz etiyolojinin geri planda kalmasına neden olmuştur. Oysa tekrarlayan başvurular ve progresif ağrı, inflamatuvar bir sürecin varlığı açısından uyarıcı olmalıydı.
Ayırıcı tanıda kas-iskelet sistemi yaralanmaları, septik artrit, derin ven trombozu ve yumuşak doku enfeksiyonları düşünülmelidir. İnflamatuvar belirteçlerin erken dönemde değerlendirilmesi ve klinik şüphe varlığında kesitsel görüntüleme yöntemlerine başvurulması tanıyı hızlandırabilir.
İliopsoas apsesi nadir ancak potansiyel olarak hayatı tehdit eden bir enfeksiyondur. Ateş ile birlikte açıklanamayan uyluk veya kalça ağrısı olan hastalarda, özellikle tekrarlayan başvurularda, mutlaka ayırıcı tanıda yer almalıdır. Erken tanı ve uygun tedavi, hastalığın seyrini belirgin şekilde iyileştirir.