Prof. Dr. Nida Temizkan Dinçel Uyardı: Çocuklarda Hipertansiyon Sessiz Ama Ciddi Bir Tehdit
Prof. Dr. Nida Temizkan Dinçel Uyardı: Çocuklarda Hipertansiyon Sessiz Ama Ciddi Bir Tehdit
İçeriği Görüntüle
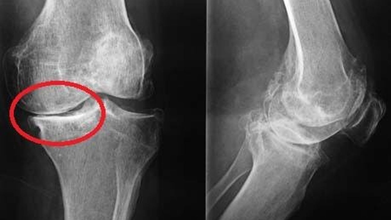
Diz kireçlenmesi (osteoartrit), eklem kıkırdağının zamanla aşınması sonucu ortaya çıkıyor. Uzmanlara göre bu hastalık yalnızca ilerleyen yaşlarda değil; hareketsizlik, fazla kilo ve yanlış spor alışkanlıkları nedeniyle gençlerde de yaygın. Son araştırmalar, diz kireçlenmesinde en iyi sonucun birden fazla yöntemin birlikte uygulanmasıyla elde edildiğini gösteriyor. Uzmanlar bu yaklaşımı üç ana başlıkta özetliyor:
  1. Kilo kontrolü
  2. Kas güçlendirme egzersizleri
  3. İlaç ve enjeksiyon tedavileri
🦵 Egzersiz en güçlü tedavi Bilimsel çalışmalar, diz çevresi kaslarının güçlendirilmesinin ağrıyı belirgin şekilde azalttığını gösteriyor. Özellikle:
  • Yürüyüş
  • Yüzme
  • Bisiklet
  • Pilates
  • Yoga
gibi düşük darbeli aktiviteler öneriliyor. Uzmanlar: “Kas güçlü ise kıkırdak daha az aşınıyor.” Günde 20–30 dakika düzenli egzersiz, 6–8 haftada fark yaratabiliyor. ⚖️ Kilo kontrolü eklemi koruyor Vücut ağırlığı dizlere dört kat yük bindiriyor. Bu nedenle 5 kilo zayıflayan bir kişide eklem yükü 20 kilo azalıyor. Kilo vermek, diz ağrısında bilimsel olarak kanıtlanmış bir iyileşme sağlıyor. 💉 Enjeksiyon tedavileri yaygınlaşıyor Ortopedi uzmanlarının en sık kullandığı yöntemler: Hyaluronik Asit Eklem sıvısını artırıyor, sürtünmeyi azaltıyor. Etkisi: 6–12 ay PRP (kendi kanından hazırlanan plazma) Kıkırdak hücrelerini uyarıyor. En iyi sonuç: 👉 PRP + fizik tedavi kombinasyonu Kök hücre Araştırmalar devam ediyor. En çok fayda: 40–60 yaş, orta evre kireçlenmede 💊 İlaçlar kısa süreli destek
  • Parasetamol
  • NSAİİ
  • Kısa süreli kortizon
Ağrıyı azaltmak için kullanılıyor. Hastalığı durdurmaz, ancak günlük yaşamı kolaylaştırır. 🌿 Bitkisel ve doğal destekler Araştırmalar en çok şu maddelere odaklanıyor:
  • Zerdeçal / kurkumin
  • Zencefil
  • Omega-3 (balık yağı)
  • Kolajen tip II
  • Yeşil çay polifenolleri
Bu ürünler ilaç değil, destek niteliğinde. Düzenli kullanıldığında bazı hastalarda ağrı ve iltihap azalabiliyor. Klinik verilerde: 👉 kurkumin + omega-3 kombinasyonu en çok çalışılan seçenek. 🛁 Evde uygulanabilecek yöntemler
  • Soğuk-sıcak uygulama
  • Kısa süreli dizlik
  • Baston kullanımı
  • Epsom tuz banyosu
  • Düzenli esneme
Bunlar diz yükünü azaltarak günlük rahatlama sağlıyor. 🏥 İleri evrede cerrahi seçenek Ağır aşınma ve deformasyon durumunda:
  • Yüzey yenileme
  • Kısmi protez
  • Total diz protezi
gündeme geliyor. Modern protezlerle: ✔ Ameliyattan sonra aynı gün ayağa kalkılabiliyor ✔ 6–12 haftada sosyal hayata dönülebiliyor Başarı oranı %90’ın üzerinde. 🌟 Sonuç: Çoklu yaklaşım Uzmanlar diz kireçlenmesiyle mücadelede en etkili yöntemi şöyle özetliyor: “En iyi sonuç; kilo kontrolü, doğru egzersiz, enjeksiyon tedavileri ve destekleyici uygulamaların birlikte kullanılmasıyla elde edilir.” Tek bir mucize yöntem yok, ancak bilimsel ve düzenli yaklaşım ile hastaların büyük bölümü günlük yaşama ağrısız dönebiliyor.